
Dr. Kamran Yazdi
Dentist
DDS, MSc Conservative Dentistry (UCL), Dip Oral Dental Science (UCL)
About Dr. Kamran
Originally from Iran, I was awarded a Doctorate in Dental Surgery (DDS) in 2002. I moved to the UK in 2006 and sat the IQE exam to re-qualify to local regulations. I also did my postgraduate study here in London in Oral Dental Science (Diploma) and Conservative Dentistry (MSc) at the Eastman Dental Hospital (UCL).
I approach all my treatments in the most conservative way, that is to preserve as much of the teeth as possible. I also believe that for the majority of problems there is more than one solution. Every patient is unique and it is my patient's right to be informed and to choose the treatment which suits them best. As your dentist, my role is to be your trusted adviser. But the final decision about the treatment you receive must be made by you and only when you are completely comfortable with your choice. I spend extra time with my patients during consultations to make sure they fully understand the problem and the proposed solutions.
Some find visiting a dentist stressful but I like to make a good and friendly connection with my patients and aim to make your visit as calm and stress-free as possible. I also provide my patients with my personal mobile phone number so you can contact me at anytime if you are in pain or concerned about something.
The technology and science of dentistry is moving so fast but we keep up to date so our patients can benefit from the advances. We use digital radiography to minimize the x-ray dose patients are exposed to, 3D intra-oral scan to eliminate the old fashioned uncomfortable use of impression materials and needle-free injection system for overcoming needle-phobia. We also work with only the best specialists and technicians, using the highest quality materials available to ensure you receive only the highest quality, best results you can expect.
Areas of Expertise
Dr Kamran's Before & After Results
See real patient transformations by Dr Kamran Yazdi






Braces, Bonding & Whitening
by Dr Kamran YazdiComplete smile makeover with invisible braces, composite bonding and teeth whitening












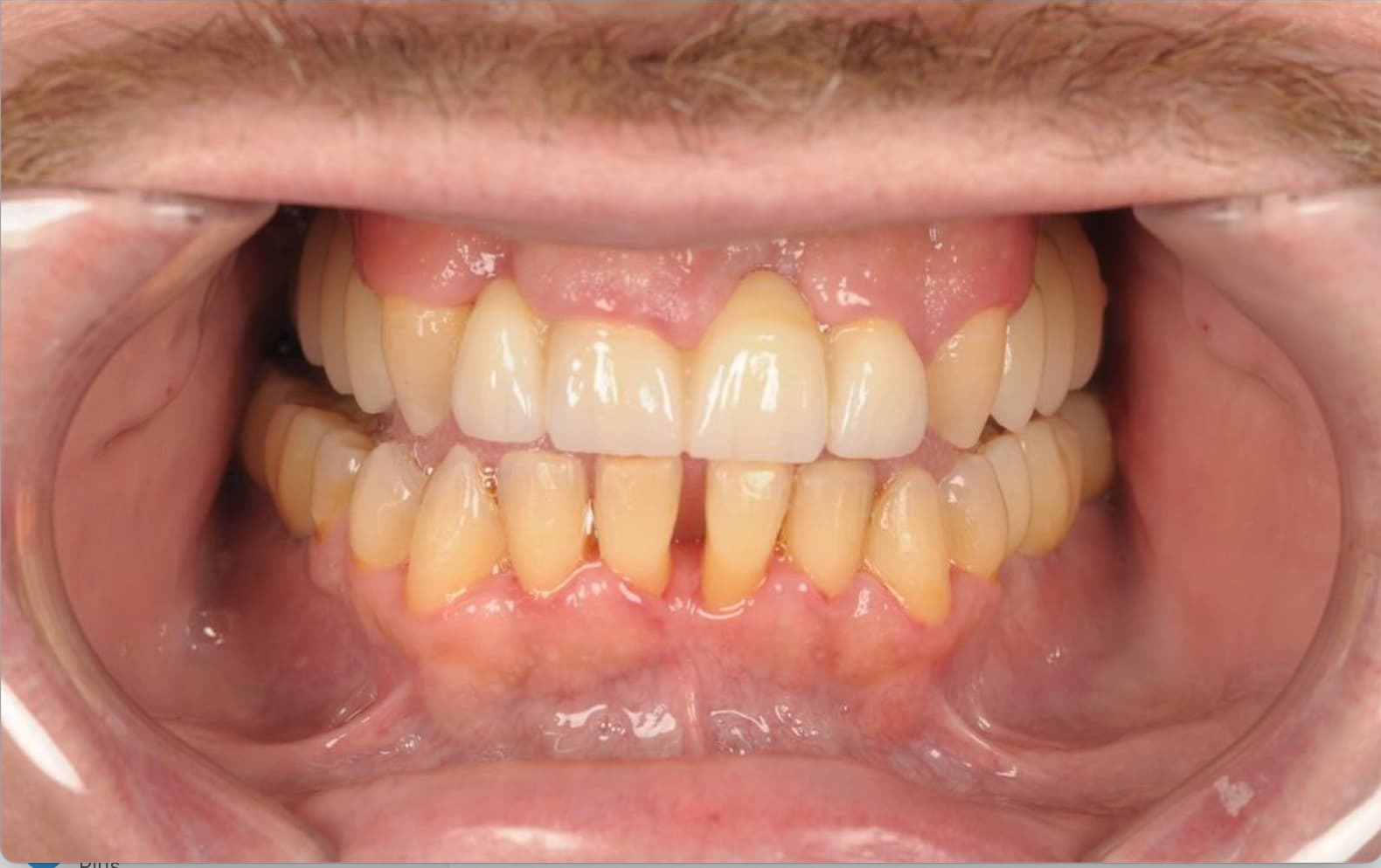
Full Mouth Rehabilitation
by Dr Kamran YazdiFull mouth rehabilitation — front view showing restored smile
Individual results may vary. All clinical images show genuine patient outcomes and are displayed with consent. Results depend on individual clinical factors and cannot be guaranteed.