Smile Gallery
Real transformations from real patients. Browse our collection of smile makeovers and see the life-changing results our dentists achieve every day in South Kensington.
Featured Transformations
Read detailed case studies with full treatment information and results.
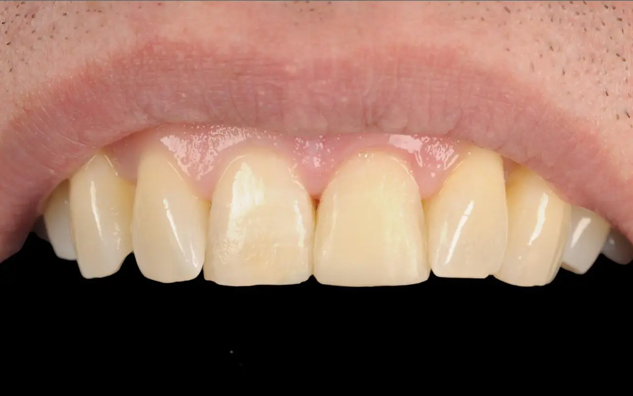
Before
AfterEmergency Chipped Tooth Repair with Composite Bonding
by Dr Reza DavariA patient attended our clinic for an emergency appointment after chipping her upper left front tooth. Fortunately, the tooth was not painful or sensitive, but the chip significantly affected the appearance of her smile.
"So pleased she returned for matching bonding on the other tooth"
Before
AfterTransforming Discoloured and Chipped Front Teeth
by Dr Yasha ShiraziThe patient attended a consultation unhappy with the appearance of her upper front teeth. Her upper right central incisor was noticeably discoloured, and both central incisors had small chips affecting the overall aesthetics of her smile. She explained that she had fallen on her teeth when she was younger, which pushed the UR1 slightly backwards. Over time, the tooth became non-vital and eventually required root canal treatment.
"Brighter and more harmonious smile achieved"
Before
AfterEmergency Root Canal & Crown for Severely Fractured Front Tooth
by Dr Yasha ShiraziThe patient presented with a severely fractured upper left central incisor (UL1), broken almost halfway, extremely sensitive and painful to touch. The upper right central incisor (UR1) also had a minor fracture of the incisal edge. The patient was in significant discomfort and concerned about the appearance of his front teeth.
"Pain-free and delighted — confidence and smile fully restored"
Before
AfterBrightening a Smile with Professional Home Whitening
by Dr Yasha ShiraziThe patient attended a consultation because he was unhappy with the yellowish appearance of his teeth. He also had several existing fillings between his lower teeth, which were more noticeable due to the colour of the surrounding enamel.
"Brighter, more confident appearance achieved"
Before
AfterRestoring Confidence with Long-Lasting Porcelain Veneers
by Dr Yasha ShiraziThe patient first came to us in 2015, feeling desperate about her smile. She had chipped her front teeth many years earlier and had composite bonding placed multiple times. Unfortunately, the bonding frequently fractured or detached, leaving her feeling self-conscious. The compromised aesthetics affected her daily life to the point where she stopped smiling altogether.
"Delighted with her veneers 11 years on — still looking natural and beautiful"
Before
AfterFull Smile Transformation with 20 Porcelain Veneers
by Dr Yasha ShiraziThe patient came to us unhappy with the overall appearance of her teeth. She described her smile as "always looking dirty and not aligned." Her concerns included gaps between the teeth, failed bonding and worn fillings, darker uneven shades, and poor overall aesthetics and lack of symmetry. These issues had affected her confidence for a long time.
"Gave her back the confidence she had been missing for years"
Before
AfterA Life-Changing Smile Transformation With Whitening and Porcelain Veneers
by Dr Yasha ShiraziA young woman in her 20s came to us requesting to "fix her awful teeth." From the moment she sat down, it was clear that her smile was impacting her confidence-she avoided smiling and often covered her mouth when speaking. She explained that her previous dentist had attempted to improve the appearance of her teeth with fillings, but the results were never satisfying. Her concerns included gaps between the teeth, darker tooth shade, a poorly shaped veneer on the upper left lateral incisor, and general asymmetry. As she shared her story, she became emotional and started crying in the chair.
"Tears of joy-completely changed how she feels about herself"
Before
AfterFull Smile Rejuvenation With New Porcelain Veneers and Crowns
by Dr Yasha ShiraziA female patient in her late 50s attended the practice unhappy with the appearance of her existing veneers and crowns, which had been placed over 20 years ago. Her concerns included chipping and wear on several restorations, discolouration and ageing of the existing work, areas of decay beneath some veneers and crowns, front teeth appearing too masculine in shape, and an overall smile that no longer reflected her personality. She desired a softer, more feminine, and naturally balanced smile.
"Finally felt confident and aligned with her appearance"
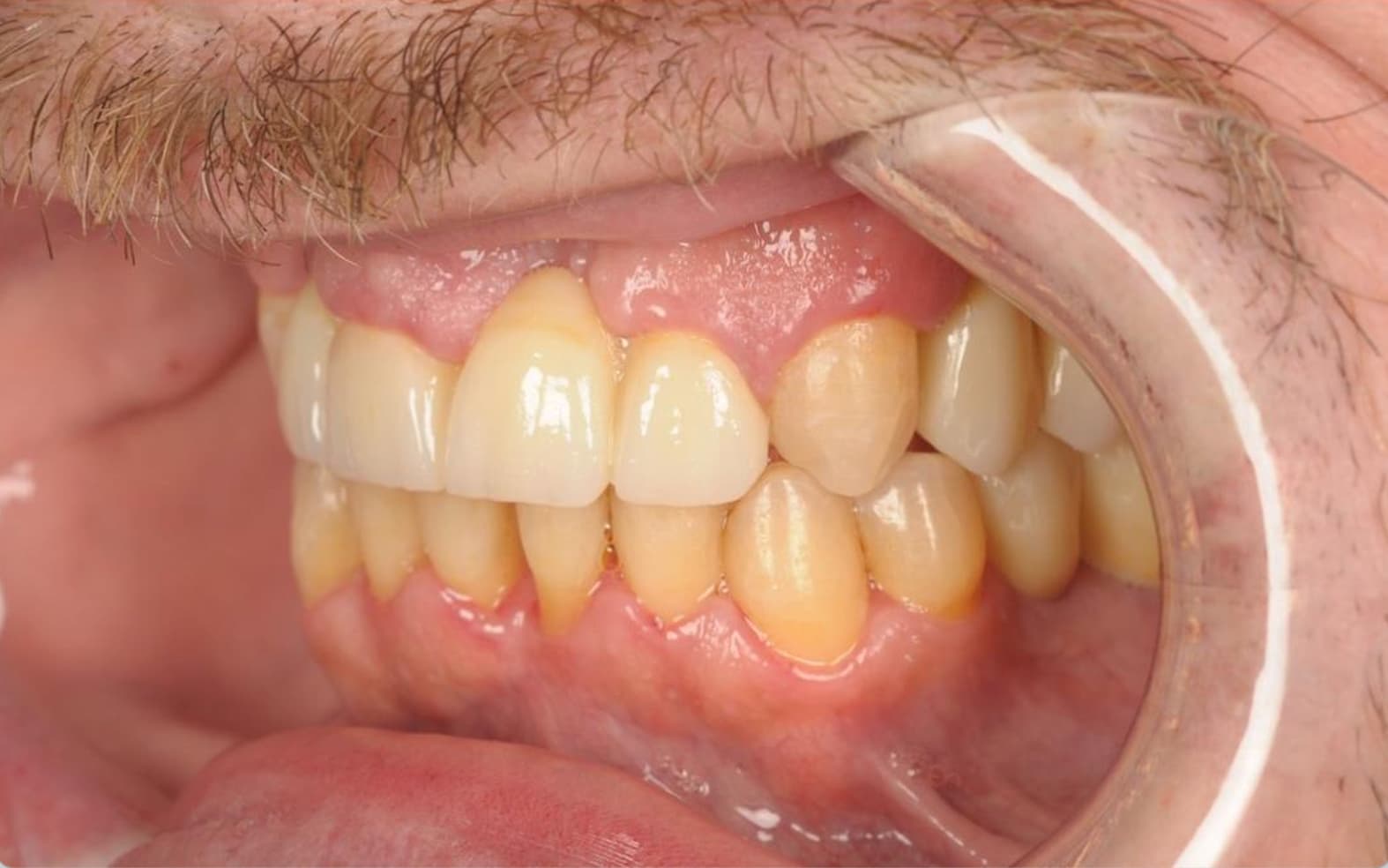
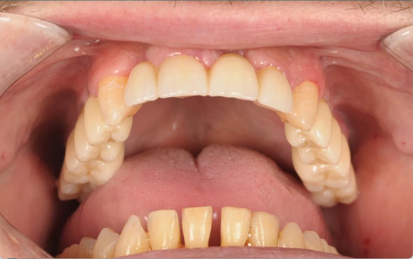
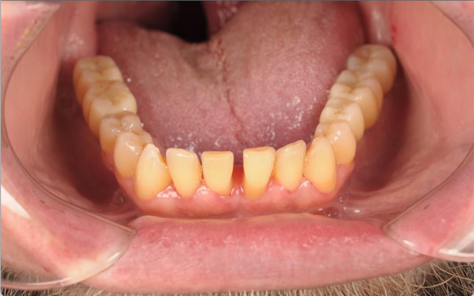
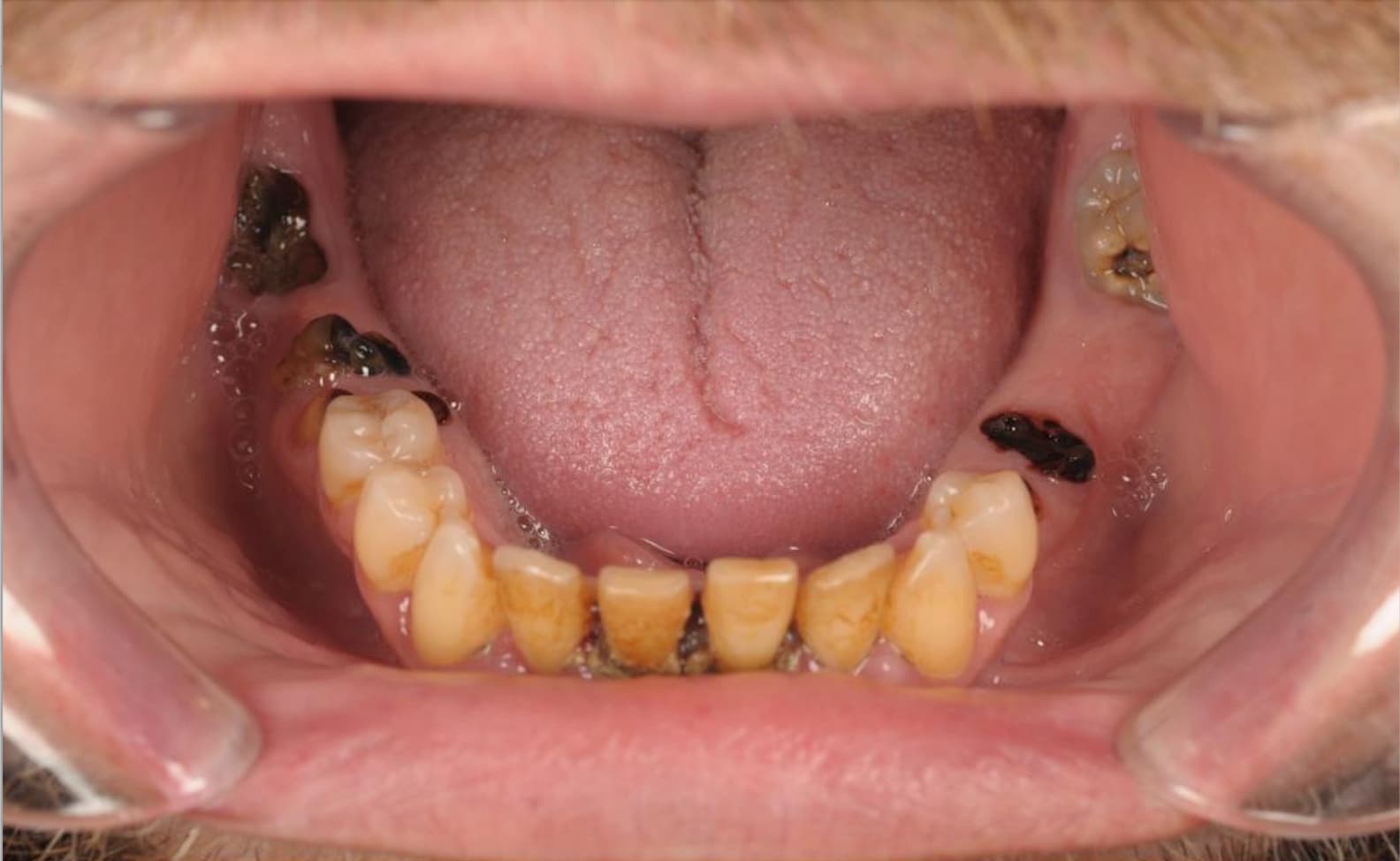
Before
AfterFull Mouth Rehabilitation: Restoring Function and Confidence
by Dr Kamran YazdiThe patient attended the practice with multiple grossly decayed and non-restorable teeth, advanced gum disease with heavy calculus build-up, and several missing upper teeth. These issues were significantly affecting their ability to eat comfortably, and the patient reported low confidence and ongoing discomfort. A comprehensive, staged treatment plan was required to address the full scope of the clinical presentation.
"Fully restored smile and significantly improved quality of life"
All Results Before & After
Drag the slider to compare results. These are real, unedited photos of our patients' transformations.








Edge Bonding
by Dr Andreia PhippsSubtle edge bonding to refine an already beautiful smile-minimally invasive dentistry, no drilling or local anesthetic was required.


Composite Bonding
by Dr Reza DavariComposite bonding on chipped front tooth — seamless natural repair


Composite Bonding
by Dr Yasha Shirazi





Braces, Bonding & Whitening
by Dr Kamran YazdiComplete smile makeover with invisible braces, composite bonding and teeth whitening








Porcelain Veneers
by Dr Yasha ShiraziLong-lasting porcelain veneers — 11-year follow-up showing continued good condition








Teeth Whitening
by Dr Reza DavariProfessional teeth whitening by Dr Reza Davari — individual results vary


Teeth Whitening
by Dr Reza Davari"Really pleased with how smoothly this case went — predictable, reliable whitening and a great result achieved in just a couple of weeks." — Dr Reza Davari




Teeth Whitening
by Dr Yasha Shirazi









Emergency Root Canal & Crown
by Dr Yasha ShiraziEmergency root canal, fibre post and crown for severely fractured front tooth


Full Mouth Rehabilitation
by Dr Andreia PhippsComplete full mouth rehabilitation restoring function and aesthetics


Full Mouth Rehabilitation
by Dr Andreia PhippsComprehensive full mouth restoration for a transformed smile


Full Mouth Rehabilitation
by Dr Kamran YazdiFull mouth rehabilitation — front view showing restored smile


Full Mouth Rehabilitation
by Dr Kamran YazdiFull mouth rehabilitation — side view showing improved bite and profile




Full Mouth Rehabilitation
by Dr Kamran YazdiFull arch prosthetic restoration replacing missing and damaged teeth




White Fillings
by Dr Kamran YazdiReplacement of old amalgam silver filling with composite white restoration
Individual results may vary. All clinical images show genuine patient outcomes and are displayed with consent. Results depend on individual clinical factors and cannot be guaranteed.
Treatments Featured in Our Gallery
Discover the range of cosmetic and restorative treatments that create these stunning transformations.
Ready to Transform Your Smile?
Every smile in our gallery started with a conversation. Book a consultation and let's discuss what's possible for you.