About Dr. Narges
Dr Narges Ameri (DDS) qualified from Tehran University of Medical Sciences in 2012 and completed a four-year specialist training in Prosthodontics and Implantology, graduating with honours and top national board rankings. She spent seven years as an Assistant Professor at Tehran University, teaching and managing complex restorative and implant cases.
Now practising in London, Dr Ameri works with a special interest in prosthetics, cosmetic dentistry, and implant-supported restorations. She also offers smile enhancement treatments using clear aligners, composite bonding, and ceramic veneers. Known for her calm and empathetic manner, she takes time to understand each patient's goals and delivers beautifully natural results with precision and care.
Areas of Expertise
Case Studies by Dr. Narges
A selection of real patient cases treated by Dr. Ameri, showcasing her expertise in prosthodontics, implant restorations, and cosmetic dentistry.

Smile Makeover
Ceramic laminates and crowns for anterior aesthetic enhancement

Composite Veneers
Gingival margin correction and diastema closure using direct composite veneers

Implant-Supported Overdenture
Implant-supported overdenture with bar attachment for full-arch restoration

Implant-Supported Overdenture
Implant-supported overdenture with locator attachments for improved retention

Composite Veneers
Gingival margin correction and diastema closure using direct composite veneers

Full-Mouth Rehabilitation
Full-mouth rehabilitation combining implant- and tooth-supported restorations

Full-Mouth Rehabilitation
Combined implant- and tooth-supported restorations for complete smile restoration

Full Mouth Rehabilitation
Comprehensive full mouth rehabilitation with advanced restorative techniques

Full-Mouth Rehabilitation
Full-mouth rehabilitation combining implant- and tooth-supported restorations

Full-Ceramic Crowns & Veneers
Full-ceramic crowns and veneers for aesthetic and functional reconstruction

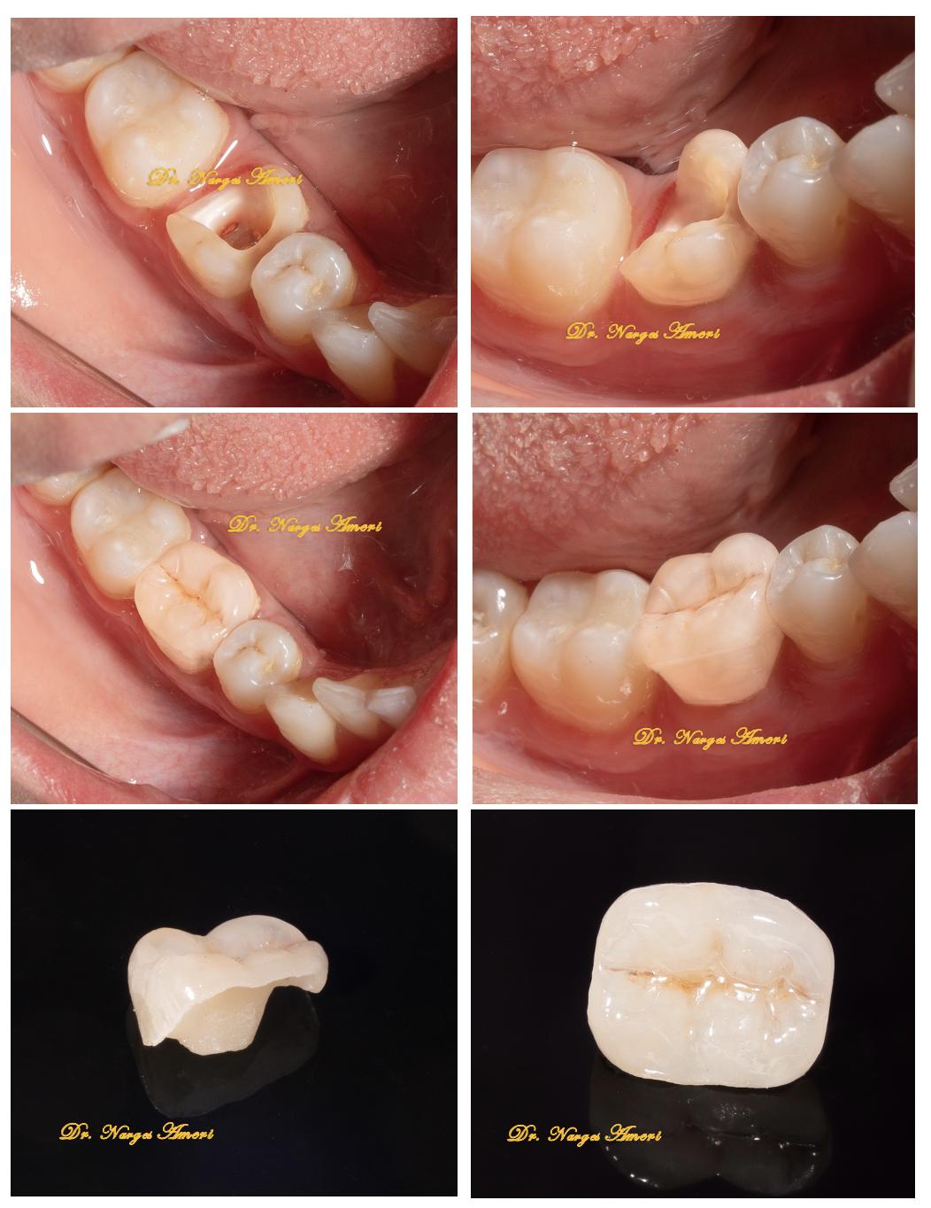
Endocrown Restoration
Conservative endocrown restoration preserving maximum tooth structure

Ceramic Laminates & Crowns
Ceramic laminates and crowns for anterior aesthetic enhancement

Toronto Bridges
Full mouth rehabilitation with retrievable implant-supported fixed prostheses (Toronto bridges)

Implant & Tooth-Supported Restorations
Anterior and posterior implant- and tooth-supported restorations

Composite Veneers
Gingival margin correction and composite veneers using layering technique

Composite Veneers
Correction of mild misalignments with direct composite veneers
