Everything You Need to Know About Composite Bonding Teeth
Composite bonding is one of the most popular cosmetic dental treatments available in the UK today. Whether you have chipped, discoloured, or slightly misaligned teeth, composite bonding may offer a minimally invasive way to enhance your smile—often in just one appointment.
In this comprehensive guide, we cover everything you need to know about composite bonding teeth: what it involves, who it may be suitable for, how the treatment works, what results may look like, aftercare advice, and how it compares to alternatives such as porcelain veneers.
“Composite bonding can be a conservative approach to improving the appearance of teeth. Because it typically preserves natural tooth structure, it may be suitable for patients who want cosmetic improvements without more invasive procedures.”
1–2hrs
Typical appointment time
5–10yrs
Expected longevity
From £395
Per tooth (non-member)
50%
Off with membership
What Is Composite Bonding?
Composite bonding is a cosmetic dental procedure in which a tooth-coloured resin material is applied to the surface of teeth, then shaped and polished to improve their appearance. The composite resin is carefully colour-matched to blend with your natural teeth, creating a seamless result.
Unlike porcelain veneers or crowns, composite bonding is typically a non-invasive or minimally invasive procedure. In many cases, little to no natural tooth structure needs to be removed, which means the treatment may be reversible—an important consideration for patients who prefer conservative dental care.
The treatment is sometimes referred to as “dental bonding,” “tooth bonding,” or “cosmetic bonding.” At South Kensington Medical & Dental, our experienced cosmetic dentists use high-quality composite materials and artistic technique to help achieve natural-looking results.
Important to Know
Composite bonding outcomes can vary between individuals depending on factors such as the condition of the existing teeth, oral hygiene habits, diet, and the specific concerns being addressed. A consultation with a qualified dentist is the best way to determine whether this treatment may be appropriate for you.
Who May Composite Bonding Be Suitable For?
Composite bonding may be considered for a range of cosmetic dental concerns. It is commonly used to address:
- Chipped or fractured teeth — restoring a natural-looking edge or shape
- Small gaps (diastemas) between front teeth
- Discoloured or stained teeth that have not responded to whitening
- Uneven or irregularly shaped teeth
- Minor alignment concerns where orthodontics may not be necessary
- Worn or shortened teeth — rebuilding length and proportion
- Exposed root surfaces due to gum recession (in some cases)
It is worth noting that composite bonding is typically best suited for minor to moderate cosmetic concerns. For more significant structural or alignment issues, your dentist may discuss alternative options such as veneers, crowns, or orthodontic treatment.
Types of Composite Bonding
Not all bonding treatments are the same. The approach your dentist recommends will depend on the area of the tooth being treated and the cosmetic goal.
Edge Bonding
Applied to the biting edges of front teeth to repair chips, smooth uneven edges, or add subtle length. Often requires no drilling or anaesthetic.
Full Composite Veneers
A thin layer of composite resin applied across the entire visible surface of a tooth to change its colour, shape, or size. A more comprehensive cosmetic enhancement.
Gap Closure Bonding
Composite is added to the sides of adjacent teeth to close small gaps (diastemas), particularly between the front teeth.
Chip Repair Bonding
Targeted repair of chipped or fractured teeth, restoring the natural contour. Commonly performed as both a cosmetic and an emergency dental procedure.
The Composite Bonding Process: Step by Step
Understanding what happens during a composite bonding appointment can help ease any concerns. Here is a typical overview of the process:
Your Composite Bonding Journey
From consultation to your new smile — here’s what to expect
Consultation & Assessment
Your dentist examines your teeth, discusses your goals, and determines whether composite bonding may be suitable. Digital photographs may be taken for planning.
Shade Matching
The composite resin is carefully colour-matched to your natural teeth using a shade guide. This helps ensure the bonding blends seamlessly.
Tooth Preparation
The tooth surface is gently roughened and a bonding agent is applied. In many cases—especially for edge bonding—no drilling or anaesthetic is required.
Composite Application
The composite resin is applied in thin layers, with each layer sculpted and shaped by hand to match your tooth’s natural anatomy. This is where artistic skill plays a key role.
Curing & Hardening
A special UV curing light is used to harden each layer of composite, bonding it securely to the tooth surface. This creates a strong, durable restoration.
Shaping & Polishing
The bonding is refined, shaped, and polished to achieve a smooth, natural finish. Your bite is checked to ensure everything feels comfortable.
Total treatment time typically ranges from 1–2 hours depending on the number of teeth being treated. Results are visible immediately.
Wondering if composite bonding could work for you? Book a consultation with our cosmetic dental team to discuss your options.
Book a ConsultationComposite Bonding Before and After: Real Patient Results
The following before and after images show real results from composite bonding treatments carried out at our South Kensington clinic. Individual results may vary depending on the patient’s dental condition, oral hygiene, and the specific concerns addressed.
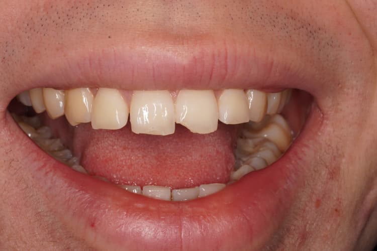
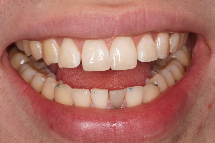
Before
AfterEmergency Chipped Tooth Repair
Treatment by Dr Reza Davari • Composite bonding to restore natural tooth shape
Before
AfterDiscoloured & Chipped Front Teeth Transformation
Treatment by Dr Yasha Shirazi • Full composite bonding to upper front teeth
Before
AfterGap Closure Between Front Teeth
Treatment by Dr Kamran Yazdi • Composite bonding to close diastema
Before
AfterSubtle Edge Bonding
Treatment by Dr Andreia Phipps • No drilling or local anaesthetic required
Before
AfterFractured Canine & Front Tooth Restoration
Treatment by Dr Reza Davari • Composite bonding to restore natural contour
Before
AfterChipped Front Tooth — Seamless Repair
Treatment by Dr Reza Davari • Natural-looking composite bonding restoration
All images show real patients treated at South Kensington Medical & Dental. Individual results may vary. Images are shown with patient consent.
More Composite Bonding Results by Dr Andreia Phipps






Composite Bonding vs Porcelain Veneers: At a Glance
Both composite bonding and porcelain veneers can be used to improve the appearance of teeth, but they differ in several important ways. The table below provides a general comparison—for a more detailed breakdown, see our dedicated article on composite bonding vs veneers.
Bonding vs Veneers — Quick Comparison
| Feature | Composite Bonding | Porcelain Veneers |
|---|---|---|
| Treatment time | Usually 1 visit | Usually 2–3 visits |
| Tooth preparation | Minimal or none | Some enamel removal |
| Reversibility | Often reversible | Generally irreversible |
| Typical longevity | 5–10 years | 10–15+ years |
| Stain resistance | Moderate | High |
| Cost (per tooth) | From £395* | From £650* |
| Best suited for | Minor–moderate concerns | More significant changes |
*Prices shown are standard non-member rates. Membership holders receive 50% off. Prices may vary based on individual treatment needs. See our full price list for details.
How Long Does Composite Bonding Last?
With proper care, composite bonding can typically be expected to last between 5 and 10 years, though this varies depending on several factors including the location of the bonding, the patient’s bite, dietary habits, and oral hygiene routine.
Over time, composite resin may become slightly discoloured or chipped, particularly if exposed to heavy biting forces or staining substances. However, one of the advantages of bonding is that it can often be repaired or replaced relatively easily without the need for extensive dental work.
Factors That May Affect Longevity
- • Teeth grinding or clenching (bruxism) — a night guard may be recommended
- • Biting hard objects such as ice, pens, or fingernails
- • Frequent consumption of staining foods and drinks (coffee, red wine, curry)
- • Smoking — can accelerate discolouration of the composite
- • Poor oral hygiene — can compromise the bond over time
Composite Bonding Aftercare
Looking after your composite bonding is straightforward. Following these guidelines may help extend the life of your treatment:
- Brush twice daily with a non-abrasive fluoride toothpaste
- Floss daily — use gentle technique around bonded areas
- Attend regular dental check-ups and hygiene appointments
- Avoid biting directly into very hard foods (e.g., nuts, ice, crusty bread)
- Limit staining foods and drinks, or rinse with water after consuming them
- If you grind your teeth at night, ask your dentist about a custom night guard
- Avoid using teeth as tools (opening packets, biting nails, etc.)
- Do not smoke — this can cause yellowing and staining of the composite
Composite Bonding Cost in London
At South Kensington Medical & Dental, composite bonding starts from £395 per tooth for non-members. With our dental membership plan (from £20/month), members receive 50% off all dental treatments, bringing the cost to from £197.50 per tooth.
Standard Price
From £395
per tooth
The total cost of treatment will depend on the number of teeth being treated and the complexity of each case. A detailed treatment plan and cost estimate will be provided following your consultation. See our full price list for more information.
Ready to explore your options? Our GDC-registered cosmetic dentists are here to help.
View Composite Bonding TreatmentFrequently Asked Questions About Composite Bonding
Is composite bonding painful?
In many cases, composite bonding involves little to no discomfort. For edge bonding and minor repairs, anaesthetic is often not needed. For more extensive work, a local anaesthetic may be used to ensure comfort throughout the procedure.
Can composite bonding stain?
Composite resin can absorb some staining over time, particularly from tea, coffee, red wine, and tobacco. However, good oral hygiene and regular polishing during dental visits can help maintain the appearance of the bonding.
Can composite bonding be removed?
In most cases, composite bonding can be removed or adjusted by a dentist without damaging the underlying tooth. This is one of the key advantages over more permanent treatments like porcelain veneers, which typically require enamel removal.
How many teeth can be bonded at once?
This depends on the complexity of each case and the patient’s comfort. Some patients have bonding applied to a single tooth (e.g., a chip repair), while others may have 4–10 teeth bonded in a single visit for a more comprehensive smile makeover.
Can I whiten my teeth before composite bonding?
Yes — if you are considering teeth whitening, it is generally advisable to complete whitening before having composite bonding. This allows your dentist to match the composite shade to your newly whitened teeth. Composite resin does not respond to whitening products.
Is composite bonding suitable for back teeth?
Composite bonding is most commonly used on front teeth for cosmetic purposes. For back teeth, composite materials are often used as tooth-coloured fillings rather than cosmetic bonding. Your dentist can advise on the best approach for your specific situation.
How do I know if composite bonding is right for me?
The best way to determine whether composite bonding is appropriate for your needs is to book a consultation with a qualified cosmetic dentist. During this appointment, your dentist will assess your teeth, discuss your goals, and recommend the most suitable options for your individual case.
Conclusion
Composite bonding is a versatile and minimally invasive cosmetic dental treatment that may help address a wide range of aesthetic concerns — from chipped and discoloured teeth to small gaps and uneven edges. With results typically visible in a single appointment and no permanent alteration to your natural teeth in many cases, it is an option worth considering for patients seeking cosmetic improvements.
At South Kensington Medical & Dental, our team of experienced GDC-registered cosmetic dentists use high-quality composite materials and careful artistic technique to help achieve natural-looking results tailored to each patient. We are a CQC-registered clinic committed to providing safe, transparent, and patient-focused dental care.
Ready to take the next step? Book a consultation with our cosmetic dental team to discuss whether composite bonding may be suitable for your smile. Call 020 7183 2362 or learn more about composite bonding at our South Kensington clinic.
Disclaimer: This article is for informational purposes only and does not constitute dental advice. Individual results from composite bonding may vary. All treatments should be discussed with a qualified dental professional. South Kensington Medical & Dental is regulated by the Care Quality Commission (CQC). All dentists are registered with the General Dental Council (GDC).
Ready to Book an Appointment?
Our team is here to help you with all your dental and medical needs.

